みなさん、こんにちは。
静岡済生会総合病院 山崎敬之です。
今年もITEM2026に参加してきました。私は、GEブースを取材したので報告します。

GEブースには、今年も多くの人が訪れ、活気にあふれていました。
MRIブースには、薬事未承認の頭部専用3T装置の展示やAIR coilの展示がありました。
多くの方がAIR coilの前で足を止め、コイルの軽さや利便性の良さを体験していました。

今年のトピックスは、「deep learning技術の発展」です。
deep learning技術に3つの発展がありましたので、ご紹介します。
AIR Recon DLの機能拡張
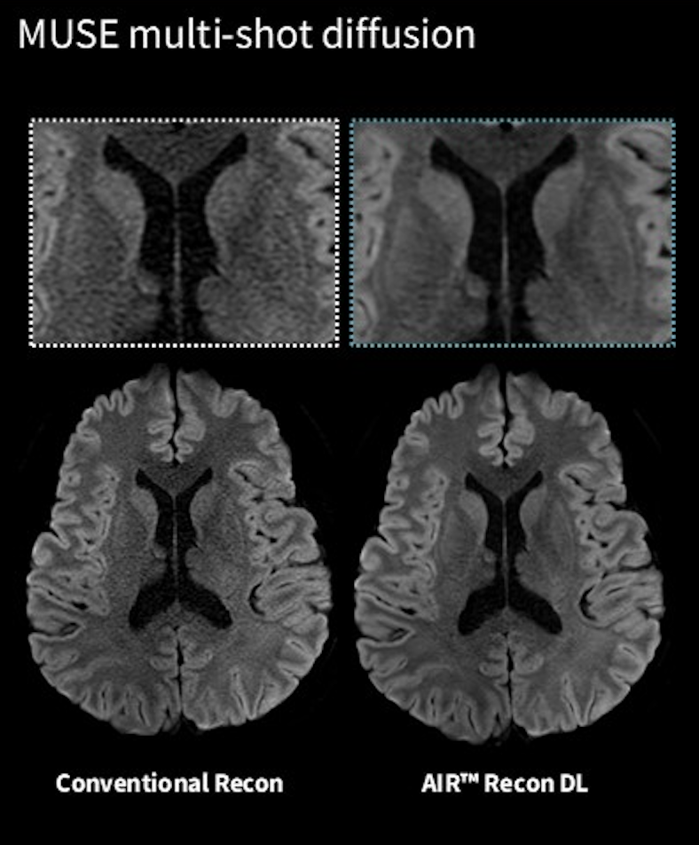
MUSE(multi shot DWI)でdeep learning技術が使用可能となりました。
これにより、multi shot DWIで画像歪みを抑制しつつ、SNRの担保をdeep learningで行えます。

3D FLEX(LAVA FLEX、Vibrant FLEX、Cube Flex)でdeep learning技術が使用可能となりました。
DLRがDixonシーケンスで使用できるようになったのは、嬉しいですね。

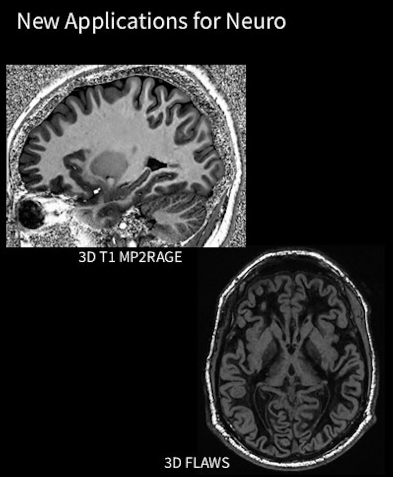
GE装置でも3D T1 MP2RAGEシーケンス、3D FLAWSシーケンスが使用可能となりました。3D FLAWSとは、SPGR系のdouble IRシーケンスです。この2つにもdeep learningが使用できるため、短時間で撮影できます。

Sonic DL 3D
3D シーケンスにSonic DLが使用できるようになりました。
Sonic DL 3Dは、位相方向とスライス方向のデータを間引いて収集を行い、間引いた部分をdeep learningで補填する新しい高速撮像技術です。

Sonic DL 3Dでは、k空間のrawデータ学習を活用して、少ないサンプリングであっても正確なフルサンプリングを再現できます。さらに、データ収集方式を工夫することにより、折り返しアーチファクトを低減しています。よって、倍速を増加させても、画像劣化しない特徴があります。
倍速は、最大12倍速まで使用できます。
Sonic DL 3Dの登場により、ますます3Dシーケンスの使用が増えそうですね。
DL Phase correction
EPIシーケンスに使用できるdeep learningを用いた新しい補正技術「DL Phase correction」が登場しました。
DL Phase correctionとは、EPIシーケンスのk空間トランジェクションによるエコー間の位相ずれ、MPGパルスによる位相ずれといった複雑な位相エラーをdeep learningが補正する技術です。

Phase correctionを使用することで、AIR Recon DLだけでは除去できなかった位相エラー由来のノイズをさらに減少することができます。
最後に
今回のITEM2026でAIR Recon DLの機能拡張、Sonic DL 3D、DL Phase correctionが発表されたことで、より短時間で高画質な画像を臨床に提供できるようになりました。
私は、展示してある画像を見て、画像ノイズの少なさに驚くばかりでした。
そして、実際の現場で、はやく使ってみたいと強く思いました。
以上、ITEM2026〜GEブース編〜でした。
コメント
トラックバックは利用できません。
コメント (0)


































この記事へのコメントはありません。