- Home
- 「ITEM2026 事前情報配信」 PixSpace最新機能とPure AI Drivenプロジェクトのご紹介
「ITEM2026 事前情報配信」 PixSpace最新機能とPure AI Drivenプロジェクトのご紹介
- 2026/3/22
- BLOG, Information, イベント情報
- コメントを書く
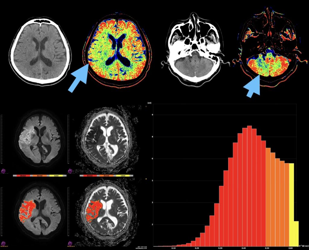
1.拡散強調画像解析の新たなる方向性
PixSpaceは全身DWIデータの解析プログラム「BD Score」をリリースして来たが、ここ数年は頭部領域でのADCボリューム解析に注目されつつある。ADC値の統計解析によって得られる指標を元に、治療の功奏を予測できる可能性が複数の論文によって示唆されつつある。このような背景を鑑みて、拡散強調画像解析を新たにリメイク(頭部への計算方法の最適化)し、頭部DWI専用アプリケーションを別途リリースを計画している。加えASL低下領域のボリューム解析や、CT画像における皮髄コントラストの不明瞭さを表現できるアプリケーションをリリースしている。頭部領域の画像表現につき、様々なアプローチをご紹介する(図1)。
2.Pure AI Drivenプロジェクト
近年の生成AIの発展は目覚ましくプログラム開発の可能性を根底から底上げしている。そこでPixSpaceは純生成AIによる開発環境を構築し、0から新しいプログラム開発(試作)を始めている。完全に生成AIプログラム任せの開発であることから「Pure AI Drivenプロジェクト」と命名し、すでに3つのアプリケーションを試作した。試作の目的は開発環境・ツールとしての生成AIの可能性と限界を探るものである。試作物はそれぞれ「Protoron(プロトロン)」「Total Board(トータルボード)」「Peregrine(ペレグリン)」と名付けているが、どれも世界最先端の公開された技術を内包しているプログラム・サービスである。PixSpaceが探る技術開発の可能性を紹介したい。
株式会社PixSpace 阪本剛
コメント
トラックバックは利用できません。
コメント (0)





































この記事へのコメントはありません。