YouTubeショート動画もご覧ください:https://www.youtube.com/shorts/DTrETIaStxo?feature=share
はじめに
本撮像法は、私が以前勤務していた東海大学医学部付属病院で、尊敬する上司がPHILIPS社製装置を用いてBalanced sequenceにMSDE-pulseを併用し、CSF-flowの観察を行っていた手法を基にしています。
現在、当院で使用しているSiemens社製装置でも同様の撮像が可能かどうか、試行錯誤を重ねながら工夫を加え、再構築したのが今回ご紹介するPSIF CINE imagingです。
PSIF(T2-FFE、Reverse FISP)CINE imagingとは
本記事では、日常臨床ではあまり用いられていないPSIF-sequenceを、
「動きの観察」という視点で応用した新しい撮像法をご紹介します。
なぜPSIFが動きの観察に適しているのか?
MRIでは、髄液や臓器の動態を観察したい場面が多くあります。
従来のSiemens社装置では、Native True-FISPやPC法などのCSF-flow観察法が用いられてきましたが、これらは以下のような制約がありました。
・撮像準備に手間がかかる(心電図同期やlabeling)
・撮影時間が長い
・体動により検査が失敗するリスクが高い
特に、頭蓋内圧が高い患者や、正常圧水頭症のような認知症状を伴う患者では、体動の影響により十分なデータが得られず、検査を断念することも少なくありません。
PSIF CINE imagingの特長
今回ご紹介するPSIF CINE imagingは、1 shotあたり1秒以下という超高速撮像が可能で、事前準備も不要です。多少の体動があっても許容できる点が大きな利点です。
では、なぜこれまでPSIFがあまり活用されてこなかったのでしょうか?
それは、PSIF-sequenceが
・S/N比が低い
・動きに弱い
という欠点を持つため、同じSSFP系sequenceで水を高信号に描出できるTrue-FISPに比べ、一般的には不利とされてきたためです。
しかし、「動きに弱い」という欠点は、見方を変えれば「動きに鋭敏」という強みにもなります。
PSIFを2D・1スライスのdynamic収集と組み合わせることで、動きのある部分がdephase(位相分散)し、かえってその動きを強調して描出することが可能になります。
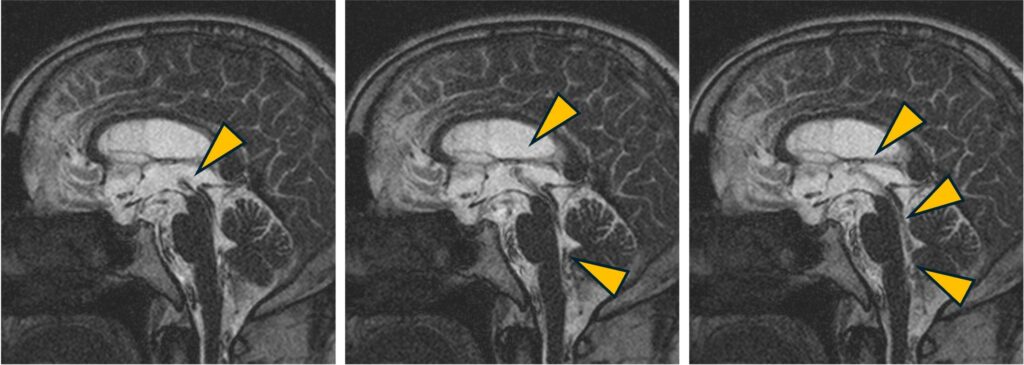
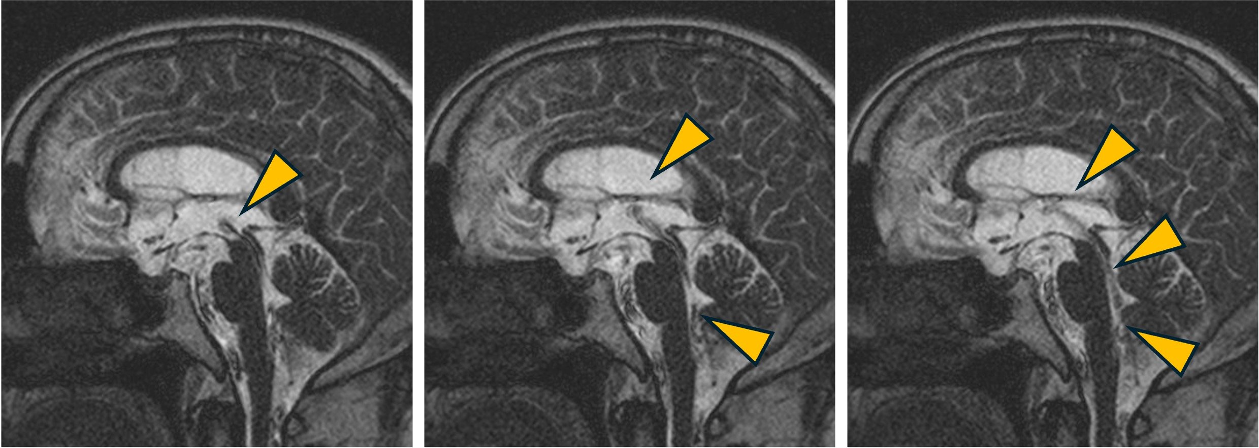
症例:CSF-flowの描出
PSIF-CINE imagingによるCSF flow症例。
第3脳室〜第4脳室にかけての髄液の拍動性流動が明瞭に確認できます。
撮像パラメータ設定のポイント
PSIF CINE imaging を臨床で安定して再現するためには、
「動きの強調」と「信号の安定性」のバランスを意識したパラメータ設定が重要です。
以下に大まかなパラメータ設定のポイントを紹介します。
FA(Flip angle): 40°~80°程度がバランス良好
TR/TE :最短としBWでS/Nをコントロール
Slice thickness : 薄すぎるとS/Nが低下し、厚すぎるとdephase効果が鈍くなります。
PSIFの応用例
この撮像法は、CSF-flow観察にとどまらず、さまざまな応用が可能です。
・腰椎クモ膜嚢胞
嚢胞が交通性かどうかを確認する際、PSIF撮像により交通部位がdephaseされ強調されます。
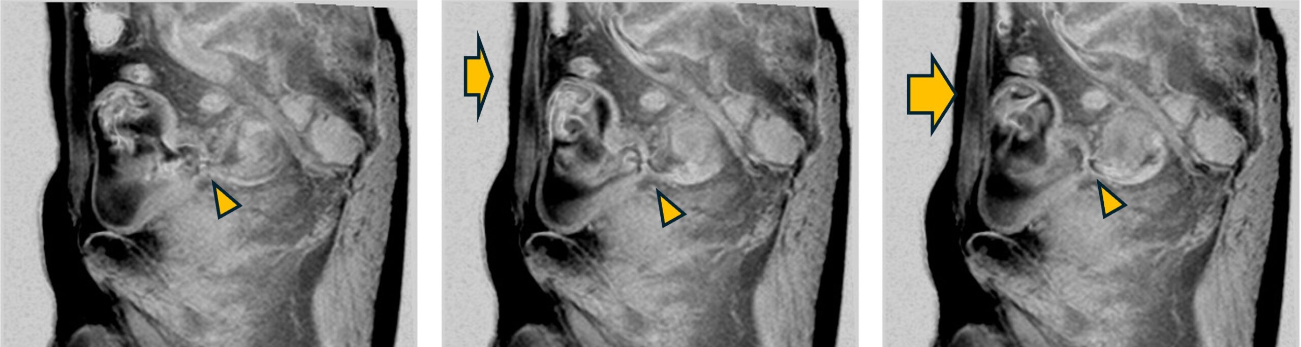
・尿管瘤
自由呼吸下で撮像すると、腹壁の動き(→)に同期した尿管と膀胱間(△)のジェット流が観察され、閉塞性でないことを確認できます。
・腎嚢胞
1 shotあたり1秒未満で撮像できるため、上腹部呼吸停止下での撮像にも対応可能です。
まとめ
PSIF CINE imagingは、
・撮像時間が数十秒と非常に短い。
・事前準備も不要。
・体動にもある程度強い。
・Dynamic収集中のランダムな動きにも対応できる。
という特長を持ちます。
「スカウト感覚」で追加できる撮像法として、日常検査に容易に組み込むことが可能です。
皆さんの工夫次第で、頭蓋内に限らず、体幹部・腹部など様々な部位にも応用可能です。
ぜひ一度、ご自身の施設の装置で試してみてください。
ライター紹介
岐阜県立多治見病院の西尾と申します。
Magnetom Grand Prixでは光栄にもチャンピオンベルトを巻かせていただきましたが、ベルトが全く似合わない貧弱な体にがっかりしてしまいました。しっかり鍛えて似合う男を目指します。見間違えにご注意を。

コメント
トラックバックは利用できません。
コメント (0)







































この記事へのコメントはありません。