カレンダーへのイベント掲載ご希望の方はこちら
最近の記事
-
2025/11/15
11/27(木)第69回函館磁気共鳴技術懇話会 ~Hybrid~
-
2025/11/13
第16回MR医療安全セミナー(更新講習会)のご案内『MRI検査で事故を起こさない…
-
-
2025/11/5
第15回C-MAC研究会 2025年11月14日(金)
-
2025/10/26
【開催案内】第8回 Body MRI技術研究会― DWIBSの基礎から標準化まで…
-
2025/10/24
★3.0T装置における体幹部MRI検査のB1不均一について〜診断名に注意〜
創意工夫過去の記事
-
2025-9-12
THAT’S BANANAS !? MG-Like MR imaging
-
-
2025-8-1
より迅速な急性期脳梗塞の診断へ -DWIとFLAIR同時撮像の試み-
-
2025-7-18
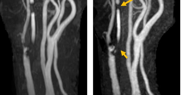
主幹も末梢も綺麗に撮りたい!Multi TE TOF sequenceのご紹介
RADっていいとも過去の記事
-
2025-6-27
RADっていいとも 素敵な仲間とのペンリレー (75)山崎敬之
-
2025-6-6
RADっていいとも 素敵な仲間とのペンリレー (74)秋葉 泰紀
-
2025-4-4
RADっていいとも 素敵な仲間とのペンリレー (72)小林 裕太
-
2025-3-21
RADっていいとも 素敵な仲間とのペンリレー (73)吉田 直碁
イベント情報過去の記事
-
2025-11-13
第16回MR医療安全セミナー(更新講習会)のご案内『MRI検査で事故を起こさない…
-
2025-11-5
第15回C-MAC研究会 2025年11月14日(金)
-
2025-10-26
【開催案内】第8回 Body MRI技術研究会― DWIBSの基礎から標準化まで…
-
2025-10-14
【第4回 MRI fan.net Web講演会】開催します!



































